Il vostro gatto è troppo grasso?
Quali sono le cause e le conseguenze del sovrappeso nei gatti e come possono dimagrire?
Gatti paffuti? Non si tratta di un argomento facile nel vero senso della parola. Ma ora è il momento di affrontarlo! Non si tratta semplicemente di bellezza ideale o del fatto che il gatto sembri perfetto e simpatico anche se più in carne. Il sovrappeso ha conseguenze a lungo termine sulla sua salute e il “divertimento” si interrompe: è a questo punto che dovrebbe accendersi la spia rossa per ogni amante dei gatti! Spesso l’obesità è addirittura una conseguenza di troppo amore. Chiunque abbia davvero a cuore il proprio gatto dovrebbe dichiarare guerra ai chili di troppo del proprio gatto – e farlo con un ruggito!
Quando considerare un gatto in sovrappeso?
Il mio gatto è in sovrappeso? A che punto è la situazione? Quando un gatto è in forma, ha un peso medio che rientra nella norma. Per i gatti di razza esistono alcune linee guida in base allo standard di razza. Un gatto che pesa più del 15-20% del suo peso ideale è considerato in sovrappeso. Determinare il peso ideale al di fuori di uno standard di razza è un po’ più complicato. Tuttavia, il “PUNTEGGIO DELLA CONDIZIONE CORPOREA” fornisce un valido orientamento sul “peso corporeo del gatto”. Almeno mostra le singole parti del corpo del gatto in relazione tra loro:
Download PDF “PUNTEGGIO DELLA CONDIZIONE CORPOREA”
Difficoltà nei movimenti
Il vostro gatto è sportivo, si muove spesso? Oppure è più un patatone da divano, che preferisce poltrire tutto il giorno sul alzandosi solo per mangiare? Immaginate di dover portare con voi uno zaino pesante tutto il giorno. Ovviamente un tale peso sulla schiena non è proprio il massimo del piacere! Con un peso del genere, il gatto avrà difficoltà a muoversi.
Cattivo umore
Sdraiatevi sulla schiena, chiudete gli occhi e aprite la bocca, immaginando di ricevere cibo e leccornie in questo modo. I gatti in questa situazione non devono preoccuparsi di nulla. Basta che vadano diretti alla ciotola e poi si ritirino nella loro cuccia. Manca qualcosa di essenziale: l'”azione”! In quanto cacciatore, il suo corpo è stato progettato per muoversi di soppiatto, saltare, arrampicarsi e fare scatti veloci. Il corpo del gatto ha bisogno di movimento! Senza di esso, il gatto sarà di cattivo umore.

Nessun girovita visibile
Per quanto riguarda la forma fisica del gatto, avere la possibilità di uscire fuori presenta alcuni vantaggi: i gatti che dispongono di uno spazio all’aperto possono mettere in atto i loro istinti di base: appostarsi, catturare e trattenere la preda, arrampicarsi e saltare. Questo non solo mette alla prova i suoi sensi, ma gli fa anche bruciare molte energie! Un gatto che non fa esercizio fisico diventa grasso. Allora presto il suo girovita non sarà più visibile.
CONSIGLIO: MANIPOLAZIONE : Dovreste essere in grado di sentire le costole del vostro gatto quando appoggiate le mani sul suo petto. Tuttavia, le costole non devono essere visibili da lontano!
Aumento del bisogno di dormire
I gatti adulti dormono dalle 12 alle 16 ore al giorno. Il ritmo preferito dal gatto per dormire dipende dalla stagione dell’anno, dal suo equilibrio ormonale o dal suo metabolismo. I gatti sono estremamente flessibili in questo senso e talvolta possono modificare i loro orari di sonno. I gatti obesi hanno spesso un maggiore bisogno di dormire.

Cause di sovrappeso nei gatti
L’eccesso di peso nei gatti può avere molte cause. Il fatto che un gatto metta su troppa “ciccia” può essere dovuto, tra l’altro, a disturbi fisici, a problemi di metabolismo, allo scarso esercizio fisico o ad un’alimentazione eccessiva. Il problema è che gli animali assumono troppe calorie rispetto a quelle che consumano. L’organismo del gatto in natura immagazzina riserve di grasso per i momenti in cui il cibo scarseggia. Questo non solo non è necessario, ma è anche poco salutare. Può portare il gatto ad ammalarsi e a non vivere a lungo.
Mancanza di esercizio fisico

I gatti che si muovono poco non bruciano abbastanza energia e ingrassano. Se il vostro gatto è in sovrappeso e inattivo, a lungo andare c’è il rischio di
- Perdita di massa muscolare
- Problemi digestivi
- Problemi cardiaci e di circolazione
Un circolo vizioso: più peso il gatto ha sul suo corpo e meno riesce a muoversi “correttamente”. È una situazione stressante. I gatti a volte mangiano anche più del dovuto in condizioni di stress! A causa di questo alimentarsi compensatorio, ingrassano sempre di più…

Genere

Esiste una predisposizione genetica all’obesità? I gatti maschi di solito pesano più delle femmine. I maschi ben strutturati pesano già più delle femmine a causa della corporatura più compatta. D’altra parte, pattugliano territori più ampi e bruciano più calorie. Da un punto di vista puramente statistico, l’obesità nei gatti dipende anche dal sesso: i maschi tendono ad essere più in sovrappeso rispetto alle femmine.
Castrazione

Sovrappeso dopo la castrazione. Perché? Quando il rapporto tra gli ormoni si modifica, questo influisce anche sul metabolismo: i gatti sterilizzati hanno improvvisamente un senso della sazietà alterato e quindi più appetito. Tuttavia, se la dieta del gatto viene regolata prima della castrazione, il gatto può mantenere il suo peso corporeo.
Malattie

Se il gatto è in sovrappeso, anche alcune malattie possono esserne la causa. Ad esempio, malattie della tiroide o dei reni possono influenzare il metabolismo del gatto: il gatto improvvisamente ingrassa. Tutto è uguale – per quanto riguarda l’alimentazione, le abitudini e il ritmo di vita – ma il vostro gatto continua ad irrobustirsi sempre di più? Allora è meglio essere sicuri e portare il gatto dal veterinario per un controllo della salute.
Razza

Anche la razza del gatto svolge un ruolo importante e può essere causa di accumuli di grasso. Ad esempio, le razze di gatti poco attive tendono ad essere più in sovrappeso rispetto a quelli vivaci e temerari che amano correre tutto il giorno. Mettetevi nei panni del vostro gatto: siete un cacciatore. Cosa vi piace fare di più? Esattamente! – Tendere un agguato, cacciare e naturalmente catturare una preda! Create per loro stimoli che soddisfino questi bisogni e combatterete i chili di troppo!
Sovralimentazione

Sovralimentazione persistente: le raccomandazioni dei produttori di alimenti per animali sono spesso in eccesso, perché a loro conviene che mettiate maggiori quantità di cibo nelle loro ciotole. I croccantini e il latte per gatti sono vere e proprie bombe caloriche! Quando il piccolo stomaco del gatto riceve il cibo, leccornie ed extra destinati agli umani, il suo organismo non riesce a bruciare tutto e il grasso si accumula.

Conseguenze del sovrappeso nei gatti
Immaginate di dover portare sempre con voi un peso di 40 chili. È un vero e proprio fardello che si sente ad ogni passo: Tutto è rallentato e ben presto si avrà il fiatone. Le conseguenze del sovrappeso sono gravi problemi di salute. Il corpo del gatto non è fatto per pesi eccessivi! I gatti grassi si ammalano più spesso di diabete, hanno problemi alla vescica, ai reni, alle ossa e alle articolazioni rispetto ai gatti che non devono affrontare un tale carico.
Minore aspettativa di vita del gatto
“Le maniglie dell‘amore”: suona bene, vero? Ma vivere con troppo grasso nei punti che non gli appartengono è tutt’altro che divertente! La vita sotto uno strato extra di grasso flaccido, a lungo andare diventa pericolosa. In media, gli animali in sovrappeso non vivono quanto i conspecifici con un peso normale, la loro aspettativa di vita diminuisce. Essere grassi non solo accorcia la vita di 2 anni, ma la rende meno degna di essere vissuta.
Problemi di pelo e cute
I gatti grassi hanno spesso problemi di cute e di pelo. Perché? Un gatto in sovrappeso non riesce più a pulirsi correttamente perché non è abbastanza agile: la toelettatura segue sempre un certo rituale e richiede una certa destrezza per raggiungere tutte le parti del corpo anche le più remote. Se non si riesce a raggiungerli, a lungo andare le sue sedute di toelettatura della cute e del pelo risulteranno inefficaci.
Il gatto soffre
Quando i gatti devono sopportare un peso maggiore di quello previsto dalla natura, a lungo andare si crea un vero e proprio stress per l’intero organismo che, prima o poi, può causare al gatto molto dolore. Il nocciolo della questione è che se il gatto soffre ad ogni movimento, preferirà essere ancora meno attivo. Questo porterà all’inattività di un numero sempre maggiore di muscoli. Di conseguenza, l’apparato muscolo-scheletrico, compresi legamenti e tendini, si atrofizza sempre di più.
Malattie dei gatti
Il corpo del gatto può sopportare molto, ma a lungo andare anche questo si indebolisce. I problemi di salute aumentano. Il sovrappeso fa ammalare i gatti. Molte malattie dei gatti sono solo il risultato del loro sovrappeso, ad esempio
- Artrosi
- Problemi alla vescica
- Diabete mellito (diabete)
- Sindrome del fegato grasso
- Problemi cardiaci e circolatori
- Problemi polmonari
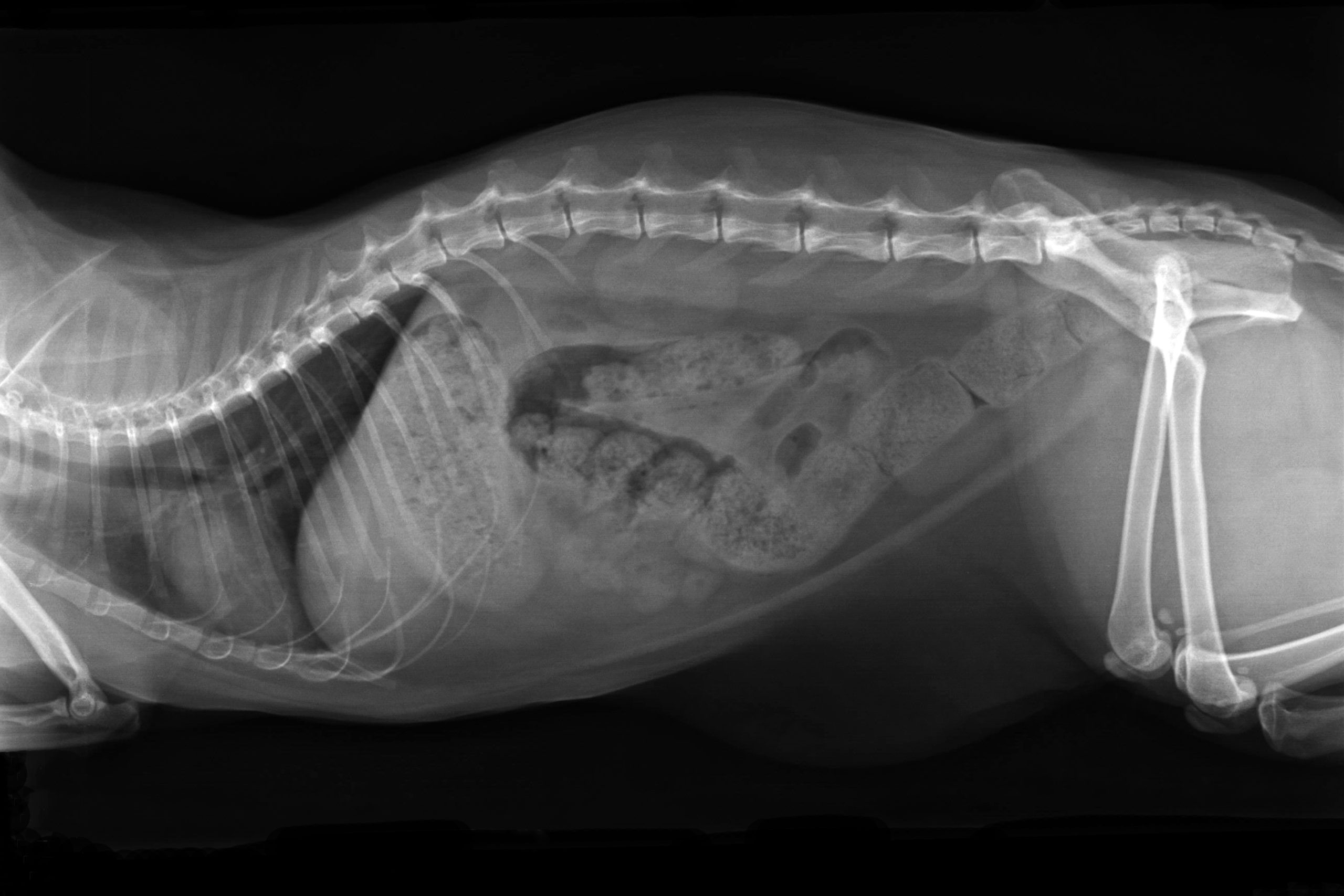
- Problemi digestivi*

*= Radiografia di un gatto in sovrappeso con blocco intestinale completo. Vista laterale.
Una lunga lista… che fa riflettere, vero? Ma non è tutto: il sistema immunitario dei gatti in sovrappeso è indebolito, il che rende i gatti grassi più suscettibili a malattie e patologie gravi. Se poi si deve eseguire un intervento o un’operazione, anche i gatti obesi sono tra i “pazienti a rischio”.
Cosa fare se il gatto è troppo grasso?
Ma cosa si può fare se il gatto è troppo grasso o addirittura in sovrappeso? Basta fargli seguire una dieta ipocalorica o dargli da mangiare la metà, in modo tale che diventi magro come un chiodo in men che non si dica? Purtroppo questo non funziona! Dimezzare semplicemente il cibo non solo crea malcontento, ma è anche dannoso perché priva il suo organismo di importanti sostanze nutritive. Ecco qualche soluzione: tenere sotto controllo la quantità di cibo e somministrarlo ad orari fissi. Inoltre, bocconcini extra devono essere somministrati entro certi limiti definiti e dovete garantirgli un sufficiente esercizio fisico!
Chiedete al vostro veterinario
Volete che il vostro gatto perda peso, ma non siete sicuri di come procedere? Allora chiedete prima al vostro veterinario! Per prima cosa esaminerà accuratamente il gatto e poi determinerà il suo peso ideale. Con l’aiuto di un piano dietetico, che controlla l’apporto calorico, è possibile modificare l’alimentazione. Il piano deve essere personalizzato per il gatto. Dovrebbe essere accompagnato da controlli regolari del peso. Liberatevi dei chili in eccesso del vostro gatto!

Dieta per gatti
È possibile aiutare il gatto a perdere peso con una dieta specifica per gatti. Esistono alimenti dietetici a ridotto contenuto calorico: contengono meno grassi, ma anche sostanze che stimolano la combustione dei grassi e supportano il sistema immunitario. Si tratta comunque di alimenti completi con tutti i nutrienti e le vitamine essenziali. Con un cambiamento costante della dieta, con gli alimenti giusti e con l’esercizio fisico, il sovrappeso può essere tenuto sotto controllo.
Alimentazione corretta per i gatti in sovrappeso
Quando si sceglie l’alimento giusto per un gatto in sovrappeso, bisogna assicurarsi che sia a basso contenuto calorico ma che contenga abbastanza proteine da poter essere digerito bene dal gatto. Sono queste proteine a garantire che il gatto non abbia una mancanza di massa muscolare e che il grasso scompaia. Seguire un piano e rispettarlo. Seguitelo, anche se il vostro gatto vi implora!
- creare un piano alimentare
- ridurre la quantità di cibo passo dopo passo
- distribuire tante piccole quantità di cibo al giorno.
- controllare regolarmente il peso del gatto
ATTENZIONE: una porzione di cibo secco ha più energia della stessa porzione di cibo umido!
Il vostro gatto mangia troppo?
Se il gatto mangia troppo, le ragioni possono essere diverse, come ad esempio l’orario di alimentazione o la routine. I gatti tendono a mangiare piccole porzioni e solo quando ne hanno voglia. Ma se il cibo viene dato una sola volta e possibilmente in una sola ciotola, mangiano tutto, per sicurezza! In una famiglia con più gatti, quelli timidi possono aver paura di rimanere senza cibo, quindi si affrettano a mangiare più di quanto sia effettivamente necessario per loro.

Cosa fare quando il gatto ha sempre fame?
Se il vostro gatto è sempre affamato, è bene che ne prendiate atto e che facciate un controllo dal veterinario. Il gatto è sano, quindi non si tratta di quello? Potrebbe essere qualcosa di nuovo o di diverso nell’ambiente che lo disturba, il “mangiare compensatorio” potrebbe avere uno sfondo psicologico: trasloco, competizione, nuovi mobili, nuovo arrivo in famiglia, o diversa routine degli orari? Andate a fondo alla questione e agite di conseguenza, se possibile.
Il gatto più grasso del mondo
I superlativi sui gatti abbondano: quali sono i gatti più grandi e quali i più piccoli del mondo? Come è composta questa categoria? Gli esseri umani tendono a voler classificare tutto: CHI o COSA è il più grande e il migliore nel suo campo? Non per niente esistono i Guinness dei primati che registrano superlativi per l’eternità. Ci sono anche amanti dei gatti che trovano belli i gatti grassi e li espongono come trofei.
Skinny è il gatto più grasso del mondo
Il gatto Skinny è famoso! Viene da Dallas e pesa 20 kg. Questo fa di Skinny il gatto più grasso del mondo. Un record triste? Un gatto che è diventato sempre più grasso da quando ha visto la luce nel 2007. Nel frattempo, Skinny ha perso molti dei suoi chili sotto controllo medico, allenamento e dieta: Ora pesa “solo” 7,7 kg, ma è in forma e agile e si gode di nuovo la sua vita da gatto.
Quelle: Skinny the fat cat, [YouTube-Video.], 22.08.2015, von otto corsie, Crazy Frog – Tricky (Official Video) , Skinny the fat cat – YouTube, zugegriffen am 13.04.2022
Domande frequenti sui gatti grassi
Un gatto che pesa più del 15-20% del suo peso ideale è considerato in sovrappeso.
Il “IL PUNTEGGIO DELLA CONDIZIONE CORPOREA” fornisce un orientamento in termini di “peso corporeo del gatto”.
I gatti hanno la pancia grossa quando assumono più calorie di quante ne brucino.
Le cause dell’obesità nei gatti possono essere la mancanza di esercizio fisico, il sesso, la castrazione, le malattie, la razza e la sovralimentazione.
I maschi tendono ad essere più in sovrappeso delle femmine.
I gatti sterilizzati hanno maggiori probabilità (ma non sempre!) di essere più grassi di quelli non sterilizzati.
Le razze di gatti non molto attive tendono ad essere più in sovrappeso rispetto ai gatti vivaci e più temerari di altre razze.
I gatti sterilizzati hanno un diverso senso della sazietà e un maggiore appetito, il che li porta a mettere su “ciccia” più facilmente rispetto ai gatti non sterilizzati.
Le conseguenze dell’obesità nei gatti sono problemi di pelo e di cute, malattie, dolore e una minore aspettativa di vita.
L’obesità riduce di 2 anni l’aspettativa di vita dei gatti.
Le malattie più comuni nei gatti in sovrappeso sono l’osteoartrite, i problemi alla vescica, il diabete mellito (diabete), la sindrome del fegato grasso, i problemi cardiovascolari, i problemi polmonari e i problemi digestivi.
Consultate il vostro veterinario e create un piano alimentare per il vostro gatto.
Somministrare quantità gradualmente ridotte di cibo secondo il piano dietetico.
È possibile aiutare il gatto a perdere peso con una dieta specifica per gatti. Esistono alimenti dietetici speciali a ridotto contenuto calorico.
Somministrate diverse piccole quantità di cibo al giorno e controllate regolarmente il peso del gatto.
Il cibo secco è più calorico di quello umido e quindi fa ingrassare.
Se il gatto mangia troppo, le ragioni possono essere diverse, come l’orario di alimentazione o la routine.
Se il vostro gatto fosse sempre affamato, dovreste andare a fondo della questione. Verificate se ci sono ragioni fisiche o psicologiche e trovate una soluzione per il vostro gatto.
Offrite al gatto piccole quantità di cibo e distribuitele più spesso nell’arco della giornata.
Skinny è considerato il gatto più grasso del mondo.
Prima della dieta, Skinny pesava 20 kg.

